万千商家帮你免费找货
0 人在求购买到急需产品
- 详细信息
- 技术资料
- 服务名称:
movat五色染色
- 提供商:
XSL
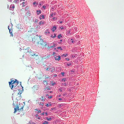
结缔组织狭义上是指其含有的三种纤维:
胶原纤维、网状纤维、弹力纤维。结缔组织染色方法亦有很多种,如 Masson 三色 染色法、Van Gieson 染色法、Gomori 氨银法 、Mallory 磷钨酸苏木素染色,然而以上染色方法只是侧重于某一两种组织的染色。
Russell 改良 Movat 五色套染以其染色丰富、鲜艳而大受欢迎。该染色法主要用于显示动脉粥样硬化斑块。Weigert 苏木素 用于染细胞核,藏红品红用于染细胞质,藏红花染胶原组织,阿尔辛蓝染基质(蛋白聚糖)。由于该试剂盒操作过程复杂,其 染色效果跟操作者经验和数量程度有很大关系,所以同时染出十分满意的结果并不容易。
操作步骤(仅供参考):
13、蒸馏水冲洗 2~3 次, 每次 3~5min。
14、将切片入磷钨酸溶液中处理 5min。
15、直接转入弱酸分化液中处理 5min。 15、蒸馏水冲洗 2~3 次, 每次 3~5min。 16、脱水: 95%乙醇 1min, 100%乙醇 2 次, 每次 1min。
17、将切片入藏红花染色液中,染色 5min。
18、脱水: 无水乙醇 2 次, 每次 1 min。
19.二甲苯透明,覆盖玻片。
染色结果:
细胞核和弹力纤维 黑色
胶原蛋白和网状纤维 黄色
蛋白聚糖 蓝绿色
类纤维素、纤维素 深红色
心肌平滑肌 红色
泡沫细胞 紫色
注意事项:
胶原纤维、网状纤维、弹力纤维。结缔组织染色方法亦有很多种,如 Masson 三色 染色法、Van Gieson 染色法、Gomori 氨银法 、Mallory 磷钨酸苏木素染色,然而以上染色方法只是侧重于某一两种组织的染色。
Russell 改良 Movat 五色套染以其染色丰富、鲜艳而大受欢迎。该染色法主要用于显示动脉粥样硬化斑块。Weigert 苏木素 用于染细胞核,藏红品红用于染细胞质,藏红花染胶原组织,阿尔辛蓝染基质(蛋白聚糖)。由于该试剂盒操作过程复杂,其 染色效果跟操作者经验和数量程度有很大关系,所以同时染出十分满意的结果并不容易。
操作步骤(仅供参考):
- 石蜡切片常规脱蜡。
- 系列乙醇水化。
- 取适量 Bouin 固定液放入微波炉中,中度加热 30~60s, 立即放入切片处理 10min。
- 流水冲洗 10min。
- 切片入海波溶液处理 5min, 蒸馏水冲洗 2~3 次。
- 切片入阿利新蓝染色液中染色 20min。
- 流水冲洗 2~5min。
- 用微波炉强火 45~60℃预热碱性乙醇溶液后, 将切片入碱性乙醇溶液中处理 10min。
- 流水冲洗 2~5 min。
- 切片入预先配制好的试剂(D)-Weigert 苏木素染色液中, 避光染色 60min。 11、流水稍冲洗, 蒸馏水冲洗 2~3 次, 每次 3~5min。
13、蒸馏水冲洗 2~3 次, 每次 3~5min。
14、将切片入磷钨酸溶液中处理 5min。
15、直接转入弱酸分化液中处理 5min。 15、蒸馏水冲洗 2~3 次, 每次 3~5min。 16、脱水: 95%乙醇 1min, 100%乙醇 2 次, 每次 1min。
17、将切片入藏红花染色液中,染色 5min。
18、脱水: 无水乙醇 2 次, 每次 1 min。
19.二甲苯透明,覆盖玻片。
染色结果:
细胞核和弹力纤维 黑色
胶原蛋白和网状纤维 黄色
蛋白聚糖 蓝绿色
类纤维素、纤维素 深红色
心肌平滑肌 红色
泡沫细胞 紫色
注意事项:
- 由于染色力以及组织切片等原因,染色后未必显示出全部五种颜色。
- 切片厚度一般要求 5mm 左右 。
- 弹力纤维分化通常在 2~3min 内完成 。
- 流水冲洗以除去 Weigert 苏木素染色液非常重要,若冲洗失败会抑制后续的染色步骤。
- 操作步骤多繁琐,染色时间常易脱片,注意预先做防脱片处理。
- 这种染色法可显示新型隐球菌,将其染成亮蓝色。
风险提示:丁香通仅作为第三方平台,为商家信息发布提供平台空间。用户咨询产品时请注意保护个人信息及财产安全,合理判断,谨慎选购商品,商家和用户对交易行为负责。对于医疗器械类产品,请先查证核实企业经营资质和医疗器械产品注册证情况。
技术资料暂无技术资料 索取技术资料
movat五色染色
询价









